審美歯科~治療事例~
上下全顎治療
Before

After









上顎前歯2+2虫歯をメタルボンド
抜随治療(歯の神経を抜く治療)をされた後、審美的に目立つので綺麗にして欲しいとのことで来院されました。
Before

After

下顎、右側4番(ポーセンインレー)5番(メタルボンド)
Before

After

下顎、左側6番(ポーセンインレー)(メタルボンド)
保険診療内のIn(インレー)が入っていましたが、見た目が嫌だとのことでポーセインレーにしました。
Before

After

下顎、左側5番(ボンド)6番(ゴールド・クラウン)(メタルボンド)
Before

After

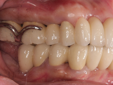
全面・下顎(フルマウス)(メタルボンド)
Before

After

ジルコニアオールセラミッククラウン
前歯の変色・治療跡にジルコニアオールセラミッククラウンを使用。
歯の高さも整い、色合いも自然なため見た目の違和感が大きく改善されました。
Before

After












